Myofunctional Therapy and Appliances
Myofunctional therapy and appliances are used in orthodontics to help address habits and muscle patterns that may affect how the teeth, jaws, and facial structures develop. These therapies focus on improving tongue posture, breathing patterns, and oral habits such as mouth breathing, finger sucking, or incorrect swallowing patterns. Supporting healthier muscle function can assist in overall oral development and may complement orthodontic treatment.
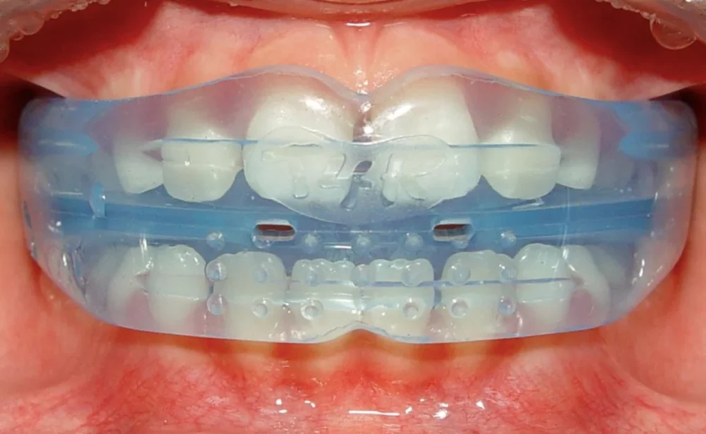
What Myofunctional Appliances Are
Myofunctional appliances are custom-made devices designed to gently help guide oral muscles and encourage healthier habits. Depending on the patient’s needs, appliances may be fixed or removable, and are sometimes used along with exercises recommended by the dental team. They are generally recommended based on a child’s growth stage, bite condition, and breathing or oral habits.
How Myofunctional Therapy Works
Myofunctional therapy focuses on training the muscles of the tongue, lips, and face to work in a more balanced way. This may include guided exercises and, in some cases, the use of appliances to support proper tongue positioning, improved nasal breathing, and healthier swallowing patterns.
As with any orthodontic appliance or therapy, an adjustment period is normal. Some patients may experience temporary changes in comfort or speech while adapting.
Who May Benefit
Myofunctional therapy and appliances are often considered for children with habits or oral muscle patterns that may affect jaw growth, tooth position, or bite development. They may also be discussed when breathing or tongue posture differences are noted. Your dental office will complete an assessment to help determine whether myofunctional therapy may be appropriate as part of overall orthodontic care.
As with any orthodontic appliance or therapy, an adjustment period is normal. Some patients may experience temporary changes in comfort or speech while adapting.
Caring for Myofunctional Appliances
Good oral hygiene is important when wearing any orthodontic appliance. Regular follow-up appointments allow the dental team to monitor progress, provide guidance, and adjust treatment if needed. Parental encouragement and consistent use, when prescribed, can help support success.
If you would like to learn more about myofunctional therapy and whether it may be suitable for your child, please contact our office to schedule a consultation.

